
在医学技术日新月异的今天,胸腔镜手术作为一种先进的微创治疗手段,为肺结节患者,特别是早期肺癌患者,开辟了一条新的治疗路径。它以其独特的优势,在肺部疾病的治疗领域中占据了重要地位。本文将深入浅出地介绍胸腔镜手术的相关知识,并通过真实病例,让大家更直观地了解这一技术如何为患者带来健康的曙光。
肺结节与肺癌的关联
肺结节,在肺部影像学检查中呈现为小阴影,犹如肺部里的神秘 “小访客”,常常引发人们的担忧。大部分肺结节属于良性,诸如炎性假瘤、错构瘤等,它们如同安静的 “过客”,生长缓慢,通常不会对健康构成严重威胁。然而,不可忽视的是,部分肺结节可能是肺癌的 “前身”。
当肺结节具备某些特定特征时,便需提高警惕。例如,结节边缘不光滑,伴有毛刺、分叶,或者在复查过程中体积持续增大,这些都可能是肺癌发出的危险 “信号”。肺癌细胞在肺内悄然滋生,最初可能以结节的形态出现,随着时间的推移,逐渐发展壮大,侵蚀肺部健康。
因此,对于肺结节,我们绝不能掉以轻心,及时、准确地判断其性质至关重要。这不仅关乎患者的健康,更关系到后续治疗方案的制定与实施。
胸腔镜手术的卓越优势
①精准操作:高清视野下的病灶 “猎手”
胸腔镜手术借助先进的高清摄像系统,能够将手术视野清晰地呈现在医生面前。在这如同放大镜般的视野中,医生可以精准地识别病灶位置,犹如 “猎手” 锁定目标一般,精确切除病变组织,同时最大限度地保护周围正常的肺组织。这种精准操作大大提高了手术的成功率,降低了术后并发症的发生风险。
②微创恢复:小切口带来的大改变
与传统开胸手术相比,胸腔镜手术的切口明显更小。这种微创方式极大地减少了对胸壁肌肉和骨骼的损伤,患者术后疼痛显著减轻。小切口不仅意味着更小的创伤,还能加速患者的康复进程。术后,患者能够更快地恢复活动能力,住院时间也得以大幅缩短,让患者能够更早地回归正常生活。
病例见证:科技助力重获健康
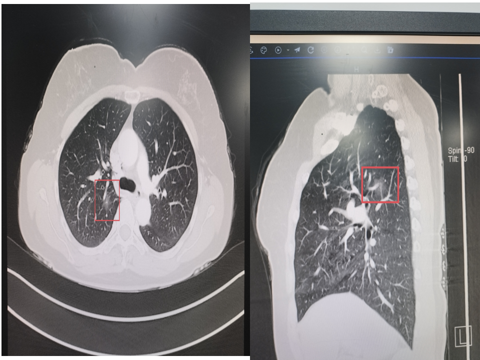
曾有一位女性患者,在 4 个月前于我院进行体检时,胸部 CT 检查发现了右肺结节,随后以 “肺结节” 被收入我科住院治疗。
胸部CT:右肺上叶后段磨玻璃结节(1.4cm*0.6cm)
胸部CT:右中肺结节(直径约0.4cm)
胸部三维重建
广州医科大学(国家呼吸中心)的崔飞教授仔细阅片后,综合各项因素,考虑该结节为早期肺癌的可能性较大,建议患者接受手术治疗。
在术前,医疗团队运用 CT 引导技术,对结节进行了精准定位,为手术的顺利开展奠定了坚实基础。术中,结合三维重建技术,医生成功实施了精准肺联合亚段切除手术。整个手术过程仅耗时 1 个半小时,便顺利完成,充分展现了医疗团队的精湛技术与先进设备的完美结合。
术后,患者接受了快速康复治疗方案。在医护人员的精心照料下,患者恢复良好,仅术后 5 天便痊愈出院。经过我院的系统治疗,患者不仅身体得以康复,生活质量也得到了显著提升,重新拥抱健康美好的生活。
肺癌预防小贴士
①戒烟:肺癌预防的 “头号防线”
吸烟是导致肺癌的首要危险因素,戒烟无疑是预防肺癌最为有效的措施。烟草中的有害物质长期刺激肺部,大大增加了肺癌的发病风险。戒烟,不仅是对自己健康的负责,更是为家人和周围人创造一个健康的环境。
②健康生活:身体的 “滋养剂”
保持均衡的饮食,摄入丰富的蔬菜、水果、全谷物等营养物质,为身体提供充足的养分;坚持适量的运动,增强体质,提高身体免疫力,有助于抵御疾病的侵袭。规律的生活作息和良好的心态,同样对身体健康至关重要。
③定期体检:健康的 “侦察兵”
对于 40 岁以上的人群,或者具有肺癌高危因素(如长期吸烟、家族中有肺癌患者、职业暴露于有害物质等)的人来说,定期进行胸部低剂量螺旋 CT 检查是早期发现肺癌的关键。通过定期体检,能够及时发现肺部的异常情况,为早期治疗争取宝贵的时间。
④避免污染:给肺部 “撑起保护伞”
尽量减少接触有害物质,如雾霾天气尽量减少外出,必须外出时佩戴口罩;注意室内通风,减少厨房油烟污染,烹饪时开启抽油烟机;选择环保的装修装饰材料,避免装修污染等。这些措施都能有效降低肺部受到有害物质侵害的风险。
肺结节虽小,却可能是健康的重要 “警报器”。重视肺结节,正确解读其发出的信号,才能在肺癌演变的过程中筑牢防线,捍卫生命的晴空。珍视肺结节的警示,积极阻断肺癌的演变之路,守护生命健康,应从重视筛查开始。让我们携手关注健康,科学预防,充分利用先进的医疗科技,为生命保驾护航!
如果您对肺结节或胸腔镜手术等相关问题有任何疑问,欢迎前往黔南州中医医院肝胆心胸外科门诊(216 诊室)进行咨询。
咨询电话:18808540198,0854 - 8222264
我们将竭诚为您服务,为您的健康答疑解惑。