
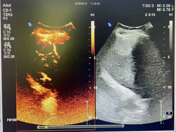
近日,一位65岁患者因在体检时查出肝脏占位病变而就诊于超声功能科,为进一步明确占位病变的良恶性,黄继红主任针对患者情况,充分评估确定患者检查适应症与禁忌症,由黄继红主任医师,游明娟护师为其实施了肝脏声学造影检查,检查医生与执行护师配合默契,整个检查过程顺利进行,患者无任何不适,为确保安全,患者留观30分钟,亦无任何不适后安返,超声造影提示:良性病变,肝血管瘤。患者悬着的心也得以平静,为其后续诊疗提供可靠依据。


在超声医学的广阔天地里,脏器声学造影技术犹如一颗璀璨的新星,以其独特的优势和卓越的性能。由黔南州中医医院超声检查功能科黄继红主任带领的超声团队再次为黔南州医疗临床诊断带来了革命性的突破。今天,就让我们跟随黄继红主任的脚步一同走进这项神奇的技术,揭开它的神秘面纱。

脏器声学造影,是近年超声领域快速发展的新技术,被誉为超声医学发展的“第三次革命”。是一种利用超声造影剂与超声成像技术相结合的检查方法。通过外周静脉注射超声造影剂,使病变内部小血管和低速血流更清楚显示,显著提高超声诊断的分辨力、敏感性和特异性,这种技术不仅具有无创、无痛、无辐射,操作方便的优点,而且实时性强,能够提供丰富的诊断信息,使得大量常规检查无法明确诊断的病例得以确诊。

脏器声学造影具有高分辨率成像、动态观察、安全性高等优势,可以有效应用于肝脏、肾脏、胆囊、子宫、卵巢、甲状腺、乳腺等占位疾病的良恶性诊断和治疗提供重要依据,有助于医生制定更加精准的治疗方案。
随着医疗技术的不断进步和创新,脏器声学造影技术也将不断发展和推广应用。为将更好的医疗诊查技术奉献给广大患者,黄继红主任所带领超声团队也在不断的学习、探索、创新,当好临床医生的眼睛,为临床诊断带来更加准确和全面的信息支持。同时,结合人工智能、大数据等先进技术的应用,脏器声学造影在疾病预防、早期诊断和个性化治疗等方面发挥更大的作用,为人类的健康事业贡献更多的力量。
咨询热线:0854-8251310